胸腰部椎間板ヘルニア
椎間板物質が脊髄を腹側より圧迫している像を認める
患者プロフィール:年齢9才、W.コーギー
主訴:腰部の痛み。右後肢の震え。
経過:内科治療にて臨床症状の改善を認める。
患者の胸腰部MRI撮影像(T2強調画像)

左図:矢状断面、右図:横断面
椎間板物質が脊髄を腹側より圧迫している像を認める
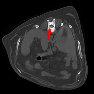
患者の胸腰部CT撮影像

横断面

椎間板物質が脊髄を腹側より圧迫している像を認める
患者プロフィール:年齢9才、W.コーギー
主訴:腰部の痛み。右後肢の震え。
経過:内科治療にて臨床症状の改善を認める。
患者の胸腰部MRI撮影像(T2強調画像)

左図:矢状断面、右図:横断面
椎間板物質が脊髄を腹側より圧迫している像を認める
患者の胸腰部CT撮影像

横断面